Efekty leczenia
Przekonaj się, jak spektakularne efekty możemy razem osiągnąć. Zobacz prawdziwe metamorfozy naszych Pacjentów, którzy odzyskali pewność siebie i radość z uśmiechu. Po prostu złap suwak znajdujący się na środku i przesuń go – odkryj, jak zmienia się życie wraz z nowym, zdrowym uśmiechem.
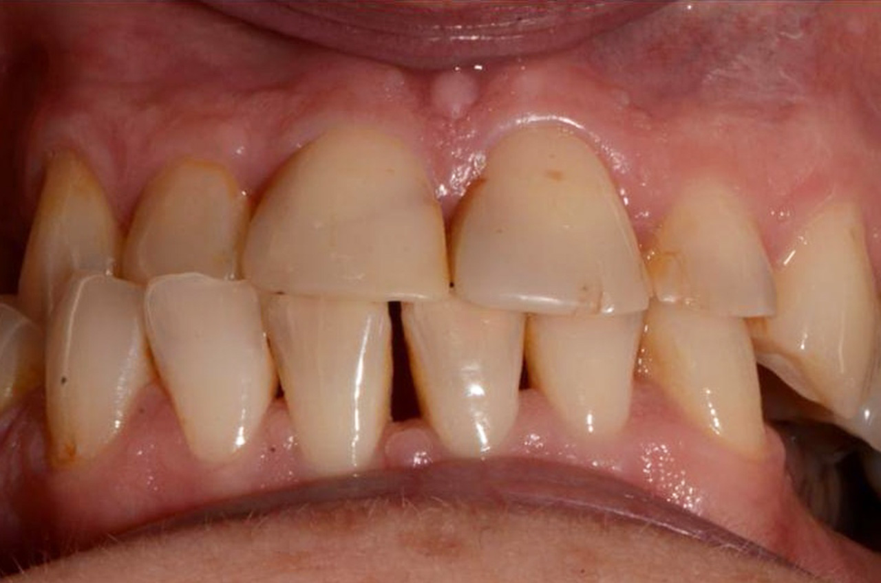
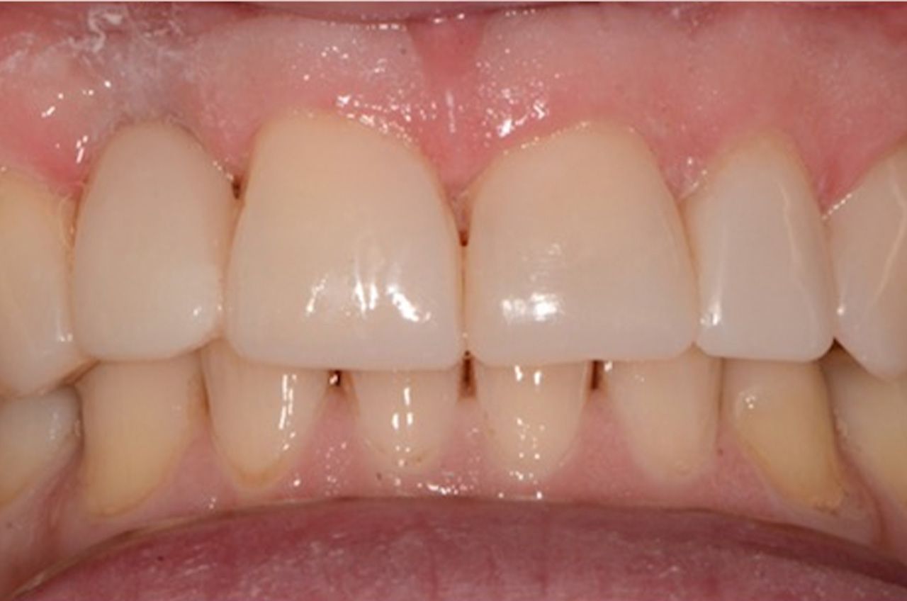
Po
Przed
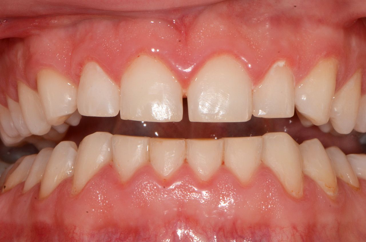
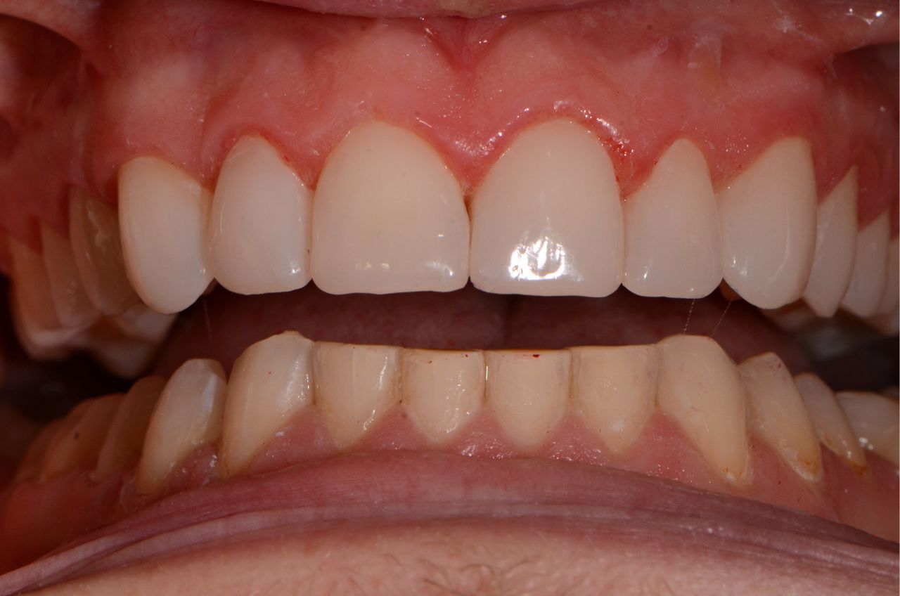
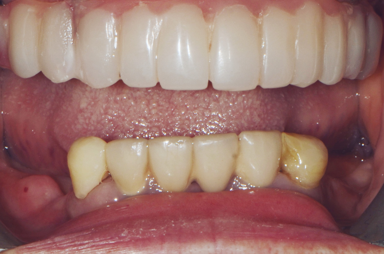
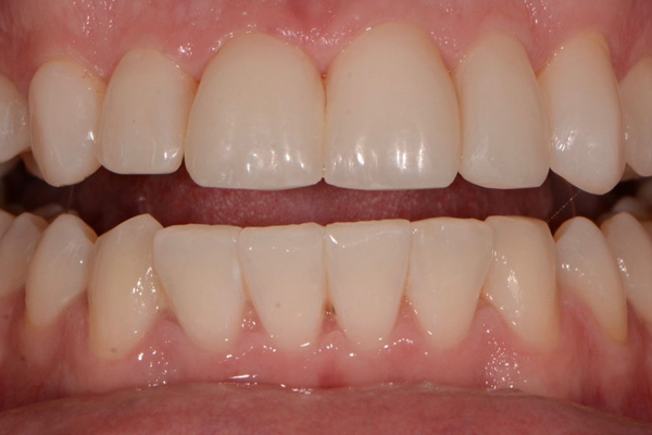
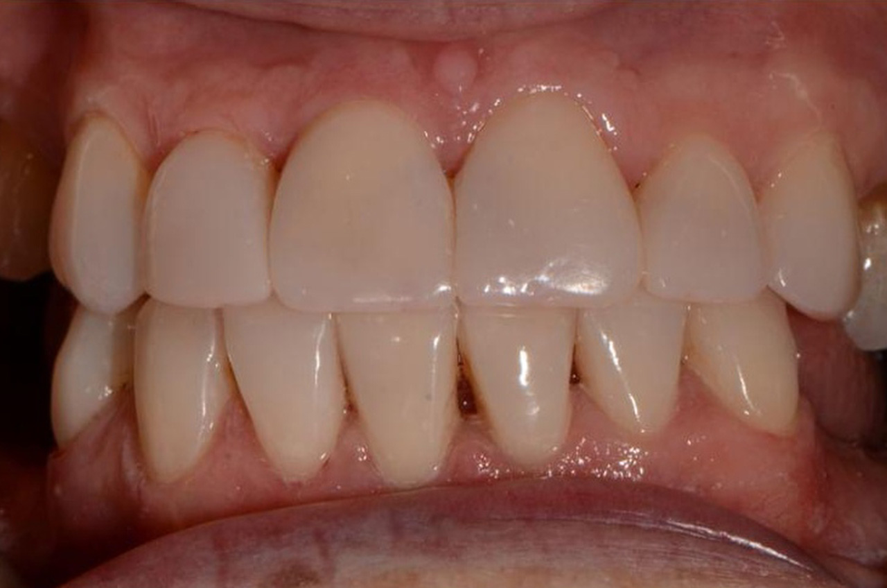
Pan Mateusz
Pan Mateusz zgłosił się do nas, gdy jego górne uzębienie przestało spełniać swoją funkcję – zarówno pod względem komfortu, jak i estetyki. Trudności w gryzieniu, brak stabilności zębów oraz narastające poczucie, że obecny stan jamy ustnej ogranicza go na co dzień, były wyraźnym sygnałem, że potrzebne jest rozwiązanie kompleksowe i długofalowe.
Po szczegółowej...
Rozwiń pełen opis
Po
Przed
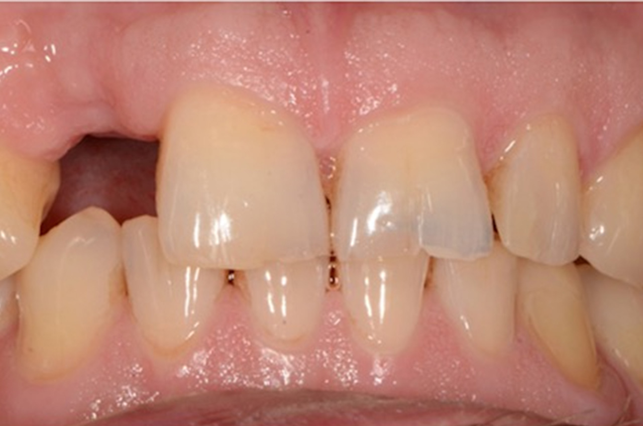
Pani Mariola
Pani Mariola zgłosiła się do nas z brakami w górnym odcinku przednim – brakowało jej jedynki po prawej stronie oraz dwójki po lewej. Te ubytki były dla niej nie tylko problemem estetycznym – wpływały także na codzienne funkcjonowanie, pewność siebie i komfort uśmiechu.
Po dokładnej diagnostyce zaplanowaliśmy most cyrkonowy obejmujący zęby od 2 do 2, który uzupełnił...
Rozwiń pełen opis
Po
Przed
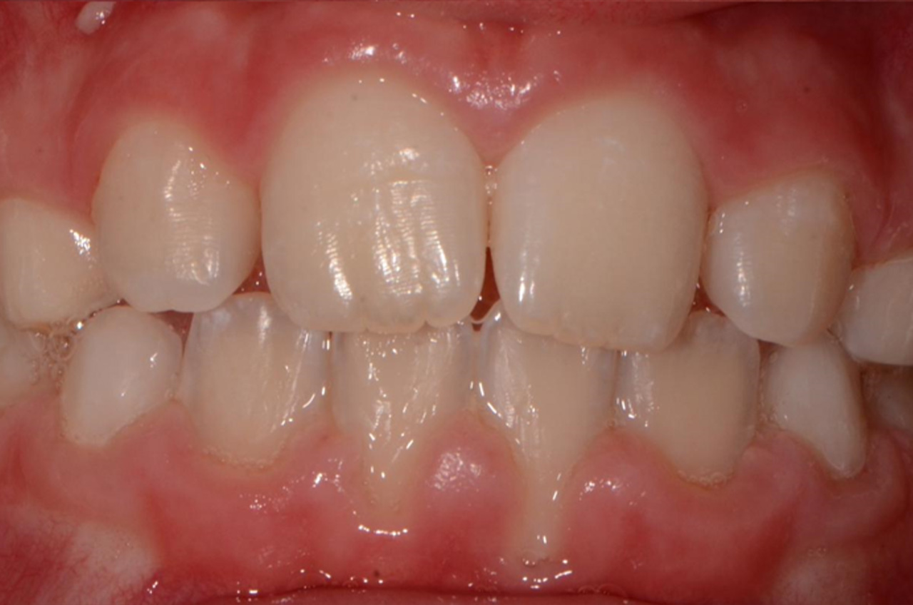
Pan Arkadiusz
Pan Arkadiusz zgłosił się do nas z marzeniem o prostym, równym i naturalnie harmonijnym uśmiechu. Przed leczeniem jego zęby były lekko stłoczone, niektóre obrócone, a zaguzkowanie – czyli sposób, w jaki zęby górne i dolne stykały się przy gryzieniu – wymagało korekty. To powodowało dyskomfort podczas jedzenia i wpływało na estetykę uśmiechu.
Leczenie rozpoczęliśmy od...
Rozwiń pełen opis
Po
Przed
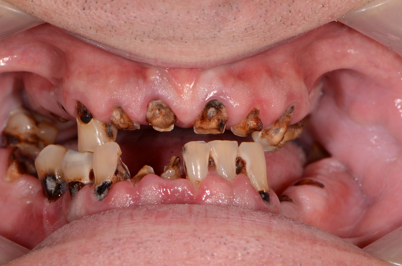
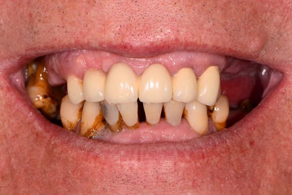
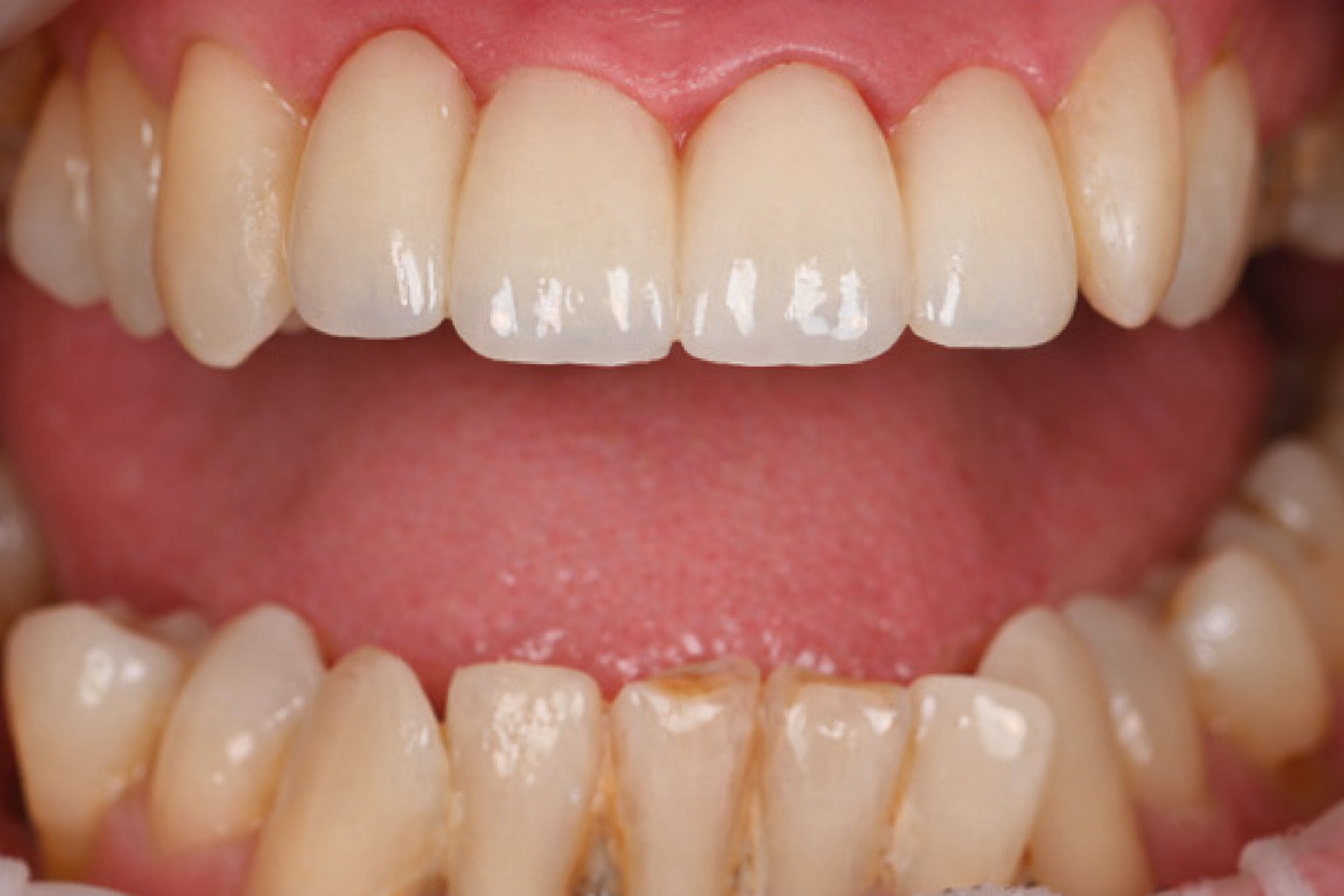
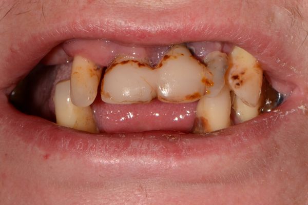
Pan Piotr
Pan Piotr zgłosił się do nas z zaawansowanymi problemami w górnym łuku zębowym. Po szczegółowej diagnostyce wspólnie zdecydowaliśmy się na kompleksowe leczenie.
W trakcie leczenia usunęliśmy wszystkie nienadające się do leczenia zęby w górnym łuku i wszczepiliśmy 6 implantów, na których osadziliśmy tytanową belkę, stanowiącą stabilną podstawę dla przyszłej odbudowy....
Rozwiń pełen opis
Po
Przed
Pan Mariusz
Pan Mariusz zgłosił się do Dental Corner z problemem brakujących zębów i marzeniem o pięknym, białym uśmiechu. Po konsultacji zdecydowaliśmy się na nowoczesną metodę IN ONE.
W jeden dzień uzupełniliśmy braki implantami i odbudowaliśmy zęby, dzięki czemu Pacjent od razu mógł cieszyć się nowym, olśniewającym uśmiechem.
Po
Przed
Pani Barbara
Pani Barbara trafiła do Dental Corner przez braki w zębach, które odbierały jej komfort mówienia i jedzenia. Po konsultacji okazało się, że także jej pozostałe uzębienie nie jest w dobrej kondycji. Tym samym zdecydowaliśmy się na zastosowanie metody IN ONE.
Braki zębowe zostały przez nas uzupełnione implantami, a Pani Barbara w 1 dzień odzyskała estetyczny uśmiech i...
Rozwiń pełen opis
Po
Przed
Pani Dorota
Pani Dorota potrzebowała kompleksowej odbudowy uzębienia. Problemem były nie tylko braki zębowe po lewej stronie dolnego łuku, ale także niesatysfakcjonująca estetyka uśmiechu.
Zaplanowaliśmy odbudowę, stanowiącą połączenie działań z zakresu implantoprotetyki i stomatologii estetycznej. Braki zębowe w dolnym łuku uzupełniliśmy za pomocą mostu na implantach. W celu...
Rozwiń pełen opis
Po
Przed
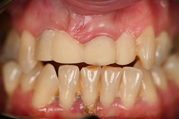
Pan Mateusz
Pan Mateusz zwrócił się do nas o pomoc, ponieważ potrzebował pełnej rekonstrukcji uzębienia. Po dokładnej diagnostyce zaplanowaliśmy kompleksowe leczenie. Żeby przywrócić prawidłową wysokość zgryzu zastosowaliśmy w górnym łuku tymczasowe korony PMMA (z polimetakrylanu metanu), natomiast w dolnym łuku przeprowadziliśmy odbudowę materiałem kompozytowym, W bocznych...
Rozwiń pełen opis
Po
Przed
Pan Adam
45-letni pan Adam odwiedził nasz gabinet z powodu problemu, jakim były pościerane i połamane zęby. Ich stan utrudniał spożywanie posiłków, a także w znaczący sposób obniżał estetykę uśmiechu.
Przeprowadziliśmy leczenie metodą All-on-4, pozwalającą na odbudowę całego łuku zębowego przy wszczepieniu tylko czterech implantów. Podczas zaledwie jednej wizyty dokonaliśmy...
Rozwiń pełen opis
Po
Przed
Pan Grzegorz
Panu Grzegorzowi zależało na odbudowie starć w łuku górnym, zamknięciu diastemy i naturalnym wyglądzie. Dokonaliśmy poprawy zarówno kształtu, jak i koloru zębów. W tym celu wykonaliśmy bonding. Cały zabieg przeprowadziliśmy w trakcie jednej wizyty, a jego efektem jest nowy piękny uśmiech Pana Grzegorza.
Po
Przed
Pani Dorota
Pani Dorota potrzebowała kompleksowej odbudowy uzębienia. Przeprowadziliśmy przygotowanie przedprotetyczne z ustaleniem wysokości zwarcia, a następnie zaprojektowaliśmy nowy uśmiech dla Pani Doroty. Dokonaliśmy odbudowy kompozytowej czterech zębów – kłów i przedtrzonowca. Obecnie Pani Dorota jest w trakcie leczenia implantoprotetycznego – przygotowujemy ją do...
Rozwiń pełen opis
Po
Przed
Pan Adam
Przypadek Pana Adama doskonale pokazuje, jak ważna jest w stomatologii współpraca między specjalistami reprezentującymi jej różne dziedziny. Pacjent zwrócił się do nas z chęcią poprawy estetyki swojego uśmiechu. Pierwszym krokiem były profesjonalna higienizacja oraz wybielanie przeprowadzone przez naszą higienistkę Joannę Smoter. Projekt pracy protetycznej wykonał...
Rozwiń pełen opis
Po
Przed
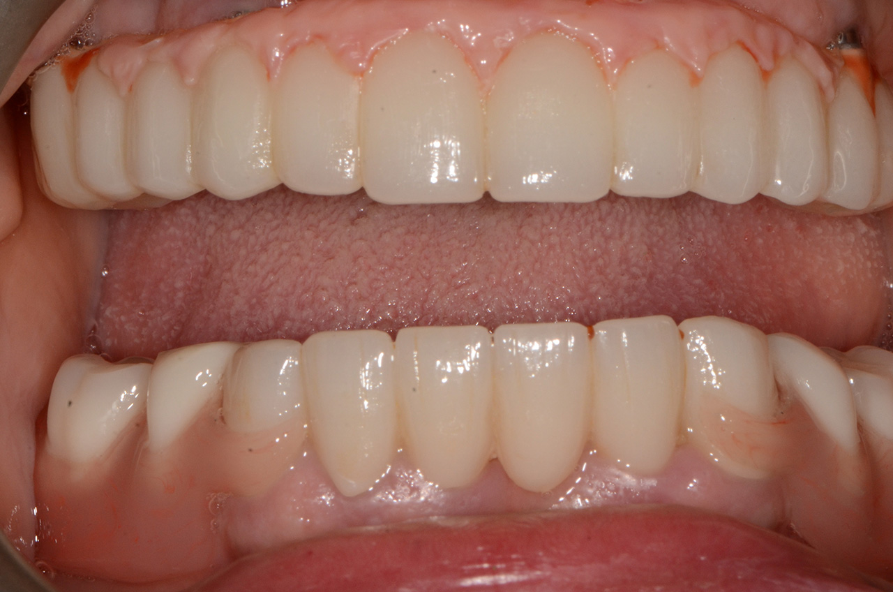
Pani Maria
Pani Maria (lat. 71) zgłosiła się do nas w celu wymiany nieestetycznego mostu na implantach (All-on-6). Ten nie spełniał już jej oczekiwań. Zdecydowaliśmy się na założenie w łuku górnym tymczasowego rozwiązania w postaci mostu z PMMA. Po przetestowaniu estetyki i funkcji zostanie on zastąpiony mostem ceramicznym. W odcinku dolnym natomiast wymieniliśmy stare korony...
Rozwiń pełen opis
Po
Przed
Pan Jarosław
Pan Jarosław (lat 42) zgłosił się do nas niezadowolony z dotychczasowego uzębienia. Zdecydowaliśmy się na wykonanie tymczasowej pracy w łuku górnym, mającej na celu przetestowanie estetyki i funkcji przed ostatecznym leczeniem protetycznym. Zęby Pacjenta odbudowaliśmy przy pomocy techniki Flow Injection, która pozwala na szybką (jednowizytową), precyzyjną i...
Rozwiń pełen opis
Po
Przed
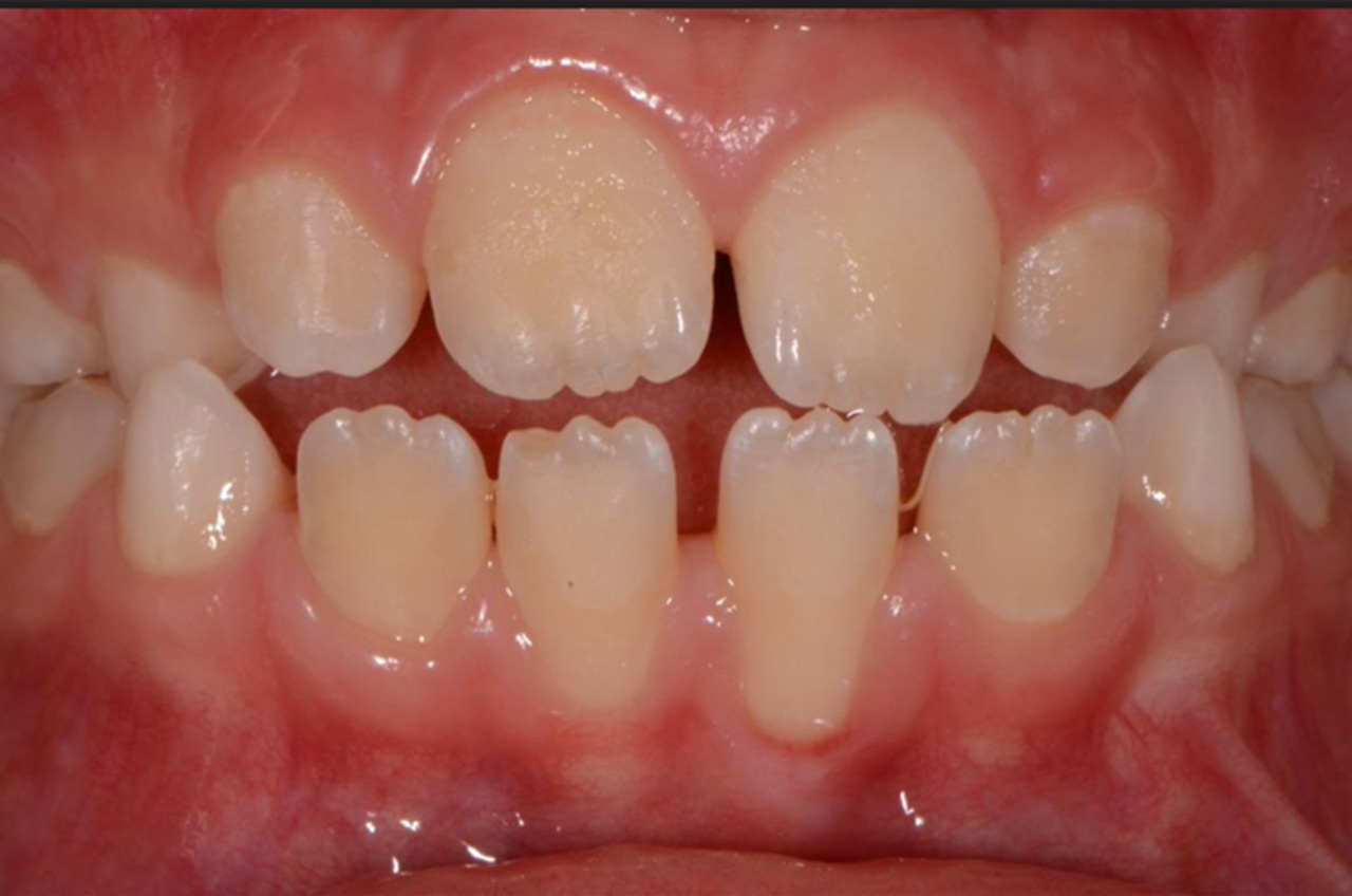
Tomek
Dziewięcioletni Tomek znajdował się w okresie, gdy uzębienie jest mieszane, a zatem w jamie ustnej współistnieją zęby mleczne i stałe. Borykał się z wadami zgryzu – stwierdzono odwrotne zachodzenie zębów, zgryz otwarty przedni oraz zgryz krzyżowy. Wdrożyliśmy leczenie za pomocą aparatu stałego na zębach dolnych. Zaplanowaliśmy, że potrwa ono rok, ale dzięki dobrej...
Rozwiń pełen opis
Po
Przed
Pani Magda
Pani Magda nie była zadowolona z estetyki swojego uśmiechu. W ramach przygotowania do bondingu przeprowadziliśmy przegląd stomatologiczny, który wykazał zmiany próchnicze. Najpierw zatem wdrożyliśmy leczenie zachowawcze zębów, a kiedy wszystkie zostały już wyleczone, wykonaliśmy bonding w części górnego łuku zębowego między kłami.
Po
Przed
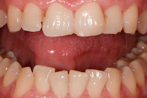
Pani Anna
Pani Annie bardzo zależało na zamknięciu diastemy i szybkiej poprawie estetyki uśmiechu. Zaproponowaliśmy bonding – okazało się, że to idealna odpowiedź na oczekiwania Pani Anny. Dzięki bondingowi wykonanemu od kła do kła diastema została zamknięta, a zęby uzyskały estetyczny kształt i kolor.
Po
Przed
Pani Iwona
Pani Iwonie zależało na szybkiej poprawie estetyki uśmiechu, która nie pochłonęłaby dużych środków finansowych. Przeprowadziliśmy przede wszystkim leczenie zębów, które tego potrzebowały, oraz wymieniliśmy wypełnienie w jedynce, które kolorystycznie odstawało od barwy naturalnych zębów Pani Iwony.
Po
Przed
Pan Mateusz
Pan Mateusz zgłosił się do nas z poważnym problemem, jakim była zaawansowana próchnica zębów, choroby przyzębia i zmiany okołowierzchołkowych korzeni w kości. Pacjent trafił pod opiekę naszego Dr Konrada Kuśmierka, który przeprowadził konieczną ekstrakcję resztek aż 19 zębów – co więcej, udało się to zrobić podczas jednej wizyty.
Następnie nasz protetyk Piotr...
Rozwiń pełen opis
Po
Przed
Pani Elżbieta
Pani Elżbieta nie była w pełni zadowolona ze swojego uśmiechu. Podczas konsultacji nasi eksperci zdiagnozowali źródło problemu i zaproponowali optymalne rozwiązanie. Zamknęliśmy diastemę za pomocą wysokiej jakości koron protetycznych, co dodatkowo poprawiło kształt i kolor zębów. Teraz Pani Elżbieta może śmiało olśniewać uśmiechem swoich bliskich.
Po
Przed
Pani Beata
Pani Beata zgłosiła się do Dental Corner z licznymi problemami stomatologicznymi. Po przeprowadzeniu konsultacji oraz kompleksowej diagnostyki razem z Pacjentką postanowiliśmy zastosować nowoczesną rekonstrukcję metodą „Zęby nawet w 24 godziny”, przywracającą naturalną funkcjonalność jamy ustnej oraz estetykę uzębienia. Dzięki skutecznemu leczeniu Pani Beata...
Rozwiń pełen opis
Po
Przed
Pan Jerzy
Nasz 19-letni Pacjent chciał odzyskać piękny uśmiech, jego problemem od zawsze były nieprawidłowo wykształcone korony zębów.
W jego przypadku specjaliści z Dental Corner zdecydowali się na leczenie chirurgiczne oraz protetykę i korony pełnoceramiczne. Pan Jerzy odzyskał wiarę w siebie i ładny uśmiech.
Po
Przed
Pani Aneta
Pacjentka zgłosiła się do Dental Corner dwa tygodnie przed najważniejszym dniem w swoim życiu, chciała w szybkim tempie poprawić wygląd swoich zębów.
Po specjalistycznych konsultacjach lekarze przeprowadzili leczenie kanałowe, protetyczne oraz wybielanie i w tempie ekspresowym zakończyliśmy proces całego leczenia, a pacjentka rozpoczęła nowe życie.
Po
Przed
Pani Małgorzata
Pacjentka zgłosiła się do Dental Corner z problemami stomatologicznymi górnych zębów. Zależało jej na zmianie estetycznej uśmiechu, szczególnie jedynek. Pani Małgorzata po leczeniu w naszej klinice zaczęła się chętnie uśmiechać.
Po
Przed
Pan Artur Szpilka
Znany bokser Artur Szpilka, jak każdy sportowiec szczególną wagę przywiązuje do zdrowia, także zdrowia zębów. Do kliniki Dental Corner zgłosił się z marzeniem o pięknym białym uśmiechu.
W jego przypadku lekarze zdecydowali się zastosować leczenie protetyczne – korony pełnoceramiczne oraz wybielanie.
Po
Przed
Pan Adrian
Pan Adrian zgłosił się w celu leczenia ortodontycznego i estetycznego. Po leczeniu ortodontycznym przystąpiono do odbudowy estetycznej zębów siecznych za pomocą materiału kompozytowego oraz wymiany starej korony porcelanowo-metalowej na estetyczną koronę pełnoceramiczną.
Po
Przed
Pani Lidia
Pani Lidia zgłosiła się w celu poprawy zdrowia i estetyki jamy ustnej, zostało przeprowadzone leczenie implantologiczno – protetyczne.
Po
Przed
Pan Maciej
Pan Maciej w wieku 5 lat doświadczył traumatycznych przeżyć na fotelu dentystycznym, które spowodowały, że unikał spotkań u dentysty przez 20 lat. Pomimo widocznych na uzębieniu zaniedbań w postaci złogów i kamienia nazębnego, nie potrafił przełamać oporu przed wizytą w gabinecie stomatologicznym. Przełomem okazała się konsultacja u doktor Wojszwiłło, która dzięki...
Rozwiń pełen opis
