Ortodoncja Wrocław
Krzywe zęby i wady zgryzu wpływają nie tylko na wygląd uśmiechu. Mogą powodować bóle głowy, napięcie karku, ścieranie zębów i trudności w jedzeniu. Nowoczesna ortodoncja pozwala skutecznie przywrócić prawidłowy zgryz, poprawić estetykę twarzy i odzyskać codzienny komfort – w sposób przewidywalny i bezpieczny.
Nowoczesna ortodoncja w Dental Corner Wrocław
Czym zajmuje się ortodoncja?
Ortodoncja to dziedzina stomatologii, która diagnozuje i leczy wady zgryzu oraz nieprawidłowe ustawienie zębów. Leczenie polega na stopniowym i kontrolowanym przesuwaniu zębów do prawidłowej pozycji za pomocą aparatów ortodontycznych lub nakładek.
Ortodoncja dla dzieci i dorosłych Wrocław
Współczesna ortodoncja nie jest już leczeniem wyłącznie dla dzieci i młodzieży. Coraz więcej dorosłych Pacjentów decyduje się na korektę zgryzu i ustawienia zębów – zarówno ze względów zdrowotnych, jak i estetycznych. Dzięki nowoczesnym, cyfrowo planowanym metodom leczenie ortodontyczne może być dyskretne, komfortowe i dopasowane do aktywnego trybu życia.
Dla komfortu Pacjentów oferujemy możliwość korzystania z okularów VITURE XR Luma Ultra, które pozwalają oglądać filmy i relaksować się podczas wizyty.
Dla kogo jest leczenie ortodontyczne?
- Dla dzieci i młodzieży w okresie wzrostu
- Dla dorosłych z wadami zgryzu lub stłoczeniami
- Dla Pacjentów z bólami głowy i napięciem mięśni
- Dla osób, które chcą poprawić estetykę uśmiechu
Jakie problemy rozwiązuje ortodoncja?
- Trudności z gryzieniem i przeżuwaniem
- Nadmierne ścieranie i przeciążenie zębów
- Wady wymowy i problemy z artykulacją
- Bóle głowy, karku i mięśni żucia
- Obniżoną pewność siebie z powodu wyglądu uśmiechu
Dowiedz się więcej o ortodoncji w Dental Corner Wrocław
Korzyści leczenia ortodontycznego
Prawidłowo przeprowadzone leczenie ortodontyczne poprawia nie tylko wygląd zębów, ale też funkcjonowanie całego układu stomatognatycznego. Zęby pracują równomiernie, mięśnie są odciążone, a uśmiech staje się harmonijny i naturalny. To inwestycja w zdrowie, komfort i pewność siebie na lata.
Korzyści dla Pacjenta:
- estetyczny uśmiech,
- łatwiejsze gryzienie i mówienie,
- mniejsze ryzyko próchnicy i uszkodzeń zębów,
- redukcja bólu głowy i napięcia mięśni,
- większa pewność siebie w codziennych sytuacjach.
Tą dziedziną stomatologii zajmuje się:
Lek. stom. Anna Al Naib
Smileline – cyfrowa ortodoncja w Dental Corner we Wrocławiu
Smileline to autorski protokół leczenia ortodontycznego opracowany przez prof. dr. hab. Piotra Fudaleja – ortodonty o światowej renomie i prezydenta Europejskiego Towarzystwa Ortodontycznego. Protokół opiera się na pełnej diagnostyce 3D, cyfrowym planowaniu i ścisłej kontroli efektów leczenia.
Leczenie realizowane jest w Dental Corner przez lek. dent. Annę Al Naib, we współpracy z zespołem Smileline. Dzięki temu Pacjent zyskuje przewidywalne rezultaty, większy komfort i bezpieczeństwo terapii.
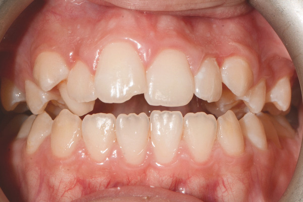
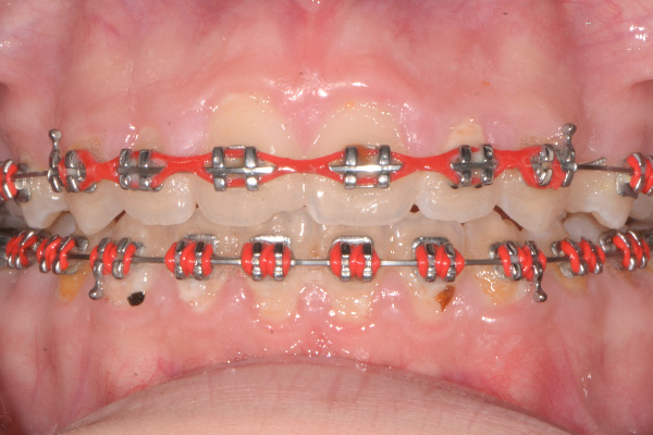
Efekty leczenia Pacjentów Dental Corner
Przekonaj się, jak spektakularne efekty możemy razem osiągnąć. Zobacz prawdziwe metamorfozy naszych Pacjentów, którzy odzyskali pewność siebie i radość z uśmiechu. Po prostu złap suwak znajdujący się na środku i przesuń go – odkryj, jak zmienia się życie wraz z nowym, zdrowym uśmiechem.
Przezroczyste nakładki ortodontyczne – komfortowa alternatywa dla aparatu
Jednym z najczęściej wybieranych rozwiązań przez dorosłych Pacjentów są właśnie przezroczyste nakładki ortodontyczne, projektowane indywidualnie w oparciu o cyfrową diagnostykę 3D. To nowoczesna forma leczenia, która pozwala stopniowo i w kontrolowany sposób przesuwać zęby do zaplanowanej pozycji, bez użycia tradycyjnych zamków i drutów.
Dlaczego Pacjenci wybierają leczenie nakładkami?
- Dyskrecja – nakładki ortodontyczne są niemal niewidoczne na zębach
- Wysoki komfort noszenia – brak metalowych elementów drażniących śluzówkę
- Możliwość zdejmowania – swobodne jedzenie i łatwiejsza higiena
- Cyfrowe planowanie – Pacjent widzi symulację efektu przed rozpoczęciem leczenia
- Przewidywalność efektów – leczenie przebiega zgodnie z wcześniej ustalonym planem
Niewidoczne nakładki ortodontyczne wymieniane są co kilka–kilkanaście dni, a każda kolejna para przybliża zęby do zaplanowanego ustawienia. Regularne kontrole u naszego ortodonty we Wrocławiu pozwalają monitorować postępy i zapewnić bezpieczeństwo terapii.
Umów się na wizytę!
Wady zgryzu znacznie obniżają estetykę uśmiechu oraz jakość codziennego funkcjonowania. Dlatego warto podjąć kompleksowe leczenie, które skutecznie rozwiąże problem oraz przywróci jamie ustnej zdrowie. Jeśli chcesz odmienić swoje życie, umów się na wizytę w Dental Corner! Nasi eksperci dobiorą rozwiązanie zgodne z Twoimi potrzebami i oczekiwaniami. Możesz się z nami skontaktować, dzwoniąc pod numer +48 713 526 354 lub wypełniając formularz.
Porozmawiajmy o Twoim leczeniu
Napisz do nas, jeśli masz pytania lub chcesz skonsultować swój przypadek. Oddzwonimy i podpowiemy, od czego najlepiej zacząć leczenie.
Najczęściej zadawane pytania
Poznaj odpowiedzi na najczęściej zadawane pytania przez naszych Pacjentów.
