Wybielanie zębów Wrocław
Jasny uśmiech dodaje pewności siebie i odmładza twarz. Profesjonalne wybielanie zębów pozwala skutecznie rozjaśnić ich kolor nawet o kilka odcieni – bezpiecznie, komfortowo i z widocznym efektem w krótkim czasie. To prosty sposób na świeży, zadbany wygląd uśmiechu.Co warto wiedzieć o wybielaniu zębów?
Na czym polega wybielanie zębów?
Wybielanie to zabieg stomatologii estetycznej polegający na rozjaśnieniu koloru zębów przy użyciu specjalistycznych preparatów. Działają one na strukturę szkliwa i zębiny, usuwając przebarwienia powstałe m.in. od kawy, herbaty czy palenia papierosów.
Dla kogo jest wybielanie zębów?
Zabieg przeznaczony jest dla Pacjentów z naturalnymi zębami, którzy chcą poprawić ich kolor i estetykę. Przed wybielaniem konieczna jest konsultacja i higienizacja, aby upewnić się, że zęby i dziąsła są zdrowe.
Jakie problemy rozwiązuje wybielanie?
Wybielanie zębów skutecznie eliminuje przebarwienia powierzchniowe i głębokie, przywracając zębom jaśniejszy, bardziej jednolity kolor. Jest idealnym rozwiązaniem, gdy domowe metody nie przynoszą oczekiwanych efektów.
Bezpieczny i kontrolowany zabieg
W Dental Corner we Wrocławiu stosujemy nowoczesne, sprawdzone metody wybielania, które są w pełni bezpieczne dla szkliwa. Cały proces odbywa się pod kontrolą stomatologa, co minimalizuje ryzyko nadwrażliwości.
Podczas zabiegu możesz skorzystać z nowoczesnych okularów XR VITURE Luma Ultra i oglądać ulubione filmy lub programy, zwiększając komfort leczenia.
Wybielanie zębów Wrocław - Korzyści zabiegu
Jasny uśmiech natychmiast poprawia wygląd i samopoczucie. Wybielanie sprawia, że twarz wygląda świeżo, a uśmiech staje się bardziej atrakcyjny i zadbany. To szybka zmiana, która potrafi znacząco wpłynąć na pewność siebie – zarówno prywatnie, jak i zawodowo.
Korzyści wybielania:
- Widoczne rozjaśnienie zębów
- Szybki efekt estetyczny
- Bezpieczne dla szkliwa
- Naturalny wygląd uśmiechu
- Większa pewność siebie
Tą dziedziną stomatologii zajmuje się:
Joanna Smoter
Anastazja Świncicka
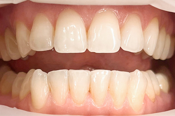
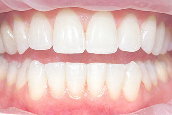
Efekty leczenia Pacjentów Dental Corner
Przekonaj się, jak spektakularne efekty możemy razem osiągnąć. Zobacz prawdziwe metamorfozy naszych Pacjentów, którzy odzyskali pewność siebie i radość z uśmiechu. Po prostu złap suwak znajdujący się na środku i przesuń go – odkryj, jak zmienia się życie wraz z nowym, zdrowym uśmiechem.
RODZAJE WYBIELANIA W DENTAL CORNER WROCŁAW
Oferujemy różne metody wybielania, dopasowane do potrzeb, oczekiwań i stanu uzębienia Pacjenta. Niezależnie od tego, czy zależy Ci na szybkim efekcie w gabinecie, stopniowym rozjaśnianiu w domu czy wybieleniu pojedynczego zęba – dobierzemy rozwiązanie, które będzie bezpieczne i skuteczne.
Wybielanie regeneracyjne
Nowoczesna metoda jednowizytowego wybielania wykonywana w gabinecie, łącząca wysoką skuteczność rozjaśniania zębów z jednoczesną regeneracją szkliwa. Zabieg pozwala rozjaśnić uśmiech nawet o 7–8 odcieni, a dzięki zastosowaniu specjalistycznego serum z nanohydroksyapatytem wzmacnia strukturę szkliwa i minimalizuje ryzyko nadwrażliwości, nawet u Pacjentów ze skłonnością do dolegliwości bólowych.
Metoda ta szczególnie polecana jest osobom, które obawiają się dyskomfortu po wybielaniu lub wcześniej miały nieprzyjemne doświadczenia z innymi technikami. Efekt jest widoczny bezpośrednio po zabiegu i – przy odpowiedniej higienie – utrzymuje się nawet do 3 lat, zapewniając naturalnie jasny, zdrowo wyglądający uśmiech.
Wybielanie nakładkowe
Sprawdzona i bezpieczna metoda wybielania domowego, prowadzona pod kontrolą stomatologa. Po konsultacji i wykonaniu cyfrowych wycisków Pacjent otrzymuje indywidualnie dopasowane nakładki oraz preparat wybielający przeznaczony do stosowania w domu. Proces trwa zazwyczaj 10–14 dni, a jego dużą zaletą jest pełna kontrola intensywności efektu.
Pacjent może samodzielnie zdecydować o zakończeniu wybielania w momencie uzyskania satysfakcjonującego koloru zębów. Metoda nakładkowa jest szczególnie polecana osobom, które preferują stopniową zmianę koloru oraz chcą rozjaśniać uśmiech w komfortowych warunkach domowych, bez pośpiechu i presji czasu.
Wybielanie zębów martwych
Specjalistyczna metoda przeznaczona do wybielania pojedynczych zębów, które zmieniły kolor po leczeniu kanałowym. Preparat wybielający aplikowany jest bezpośrednio do wnętrza zęba, dzięki czemu możliwe jest skuteczne rozjaśnienie jego struktury od środka, bez ingerencji w pozostałe zęby.
Zabieg przeprowadzany jest etapami, z zachowaniem pełnego bezpieczeństwa dla tkanek zęba. Wybielanie zębów martwych pozwala przywrócić naturalną barwę uzębienia i wyrównać estetykę uśmiechu bez konieczności stosowania koron czy licówek, co czyni je rozwiązaniem zachowawczym i mało inwazyjnym.
Umów się na wizytę
Jeśli chciałbyś poprawić kolor swoich zębów, zapraszamy na wizytę w Dental Corner! Możesz się z nami skontaktować, dzwoniąc pod numer +48 713 526 354 lub wypełniając formularz.
Porozmawiajmy o Twoim leczeniu
Napisz do nas, jeśli masz pytania lub chcesz skonsultować swój przypadek. Oddzwonimy i podpowiemy, od czego najlepiej zacząć leczenie.
Najczęściej zadawane pytania
Poznaj odpowiedzi na najczęściej zadawane pytania przez naszych Pacjentów.
