Stomatologia zachowawcza Wrocław
Ból zęba rzadko pojawia się bez powodu. Najczęściej jest sygnałem, że próchnica lub uszkodzenie zęba sięga głębiej. Stomatologia zachowawcza pozwala skutecznie zatrzymać problem, odbudować ząb i przywrócić mu pełną funkcję – bez bólu i stresu.Co trzeba wiedzieć o stomatologii zachowawczej?
Czym jest stomatologia zachowawcza?
Stomatologia zachowawcza zajmuje się leczeniem próchnicy oraz odbudową uszkodzonych zębów. Jej celem jest zachowanie naturalnego uzębienia jak najdłużej poprzez usunięcie chorych tkanek i uzupełnienie ubytków nowoczesnymi materiałami.
Dla kogo jest leczenie zachowawcze?
Dla Pacjentów w każdym wieku, u których występuje próchnica, ubytki, pęknięcia zębów lub nadmierne starcie szkliwa. Leczenie zalecane jest także osobom po urazach mechanicznych oraz z problemami zgryzowymi.
Jakie problemy rozwiązuje?
Leczenie zachowawcze eliminuje ból, nadwrażliwość i ryzyko dalszego niszczenia zęba. Zapobiega rozwojowi infekcji, które mogłyby prowadzić do leczenia kanałowego lub ekstrakcji.
Dlaczego szybka reakcja ma znaczenie?
Nawet niewielki ubytek z czasem się powiększa. Regularne kontrole co 6 miesięcy pozwalają wykryć zmiany na wczesnym etapie i uniknąć skomplikowanego, długotrwałego leczenia w przyszłości.
Korzyści leczenia zachowawczego
Leczenie zachowawcze to sposób na zachowanie własnych zębów w zdrowiu i komforcie. Nowoczesne materiały oraz skuteczne znieczulenie sprawiają, że zabiegi są bezbolesne, a odbudowane zęby wyglądają naturalnie i służą przez długie lata.
W trosce o dobre samopoczucie Pacjentów udostępniamy nowoczesne okulary XR VITURE Luma Ultra, które pomagają zrelaksować się podczas wizyty.
Korzyści leczenia:
- Zachowanie naturalnych zębów
- Bezbolesne zabiegi
- Naturalna estetyka wypełnień
- Ochrona przed powikłaniami
- Komfort i spokój psychiczny
Tą dziedziną stomatologii zajmuje się:
Lek. stom. Monika Goszczyńska-Popławska
Lek. stom. Joanna Nowak
Lek. dent. Konrad Kuśmierek
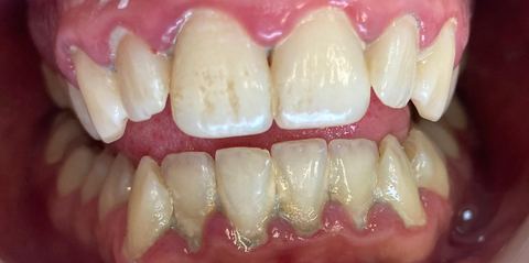
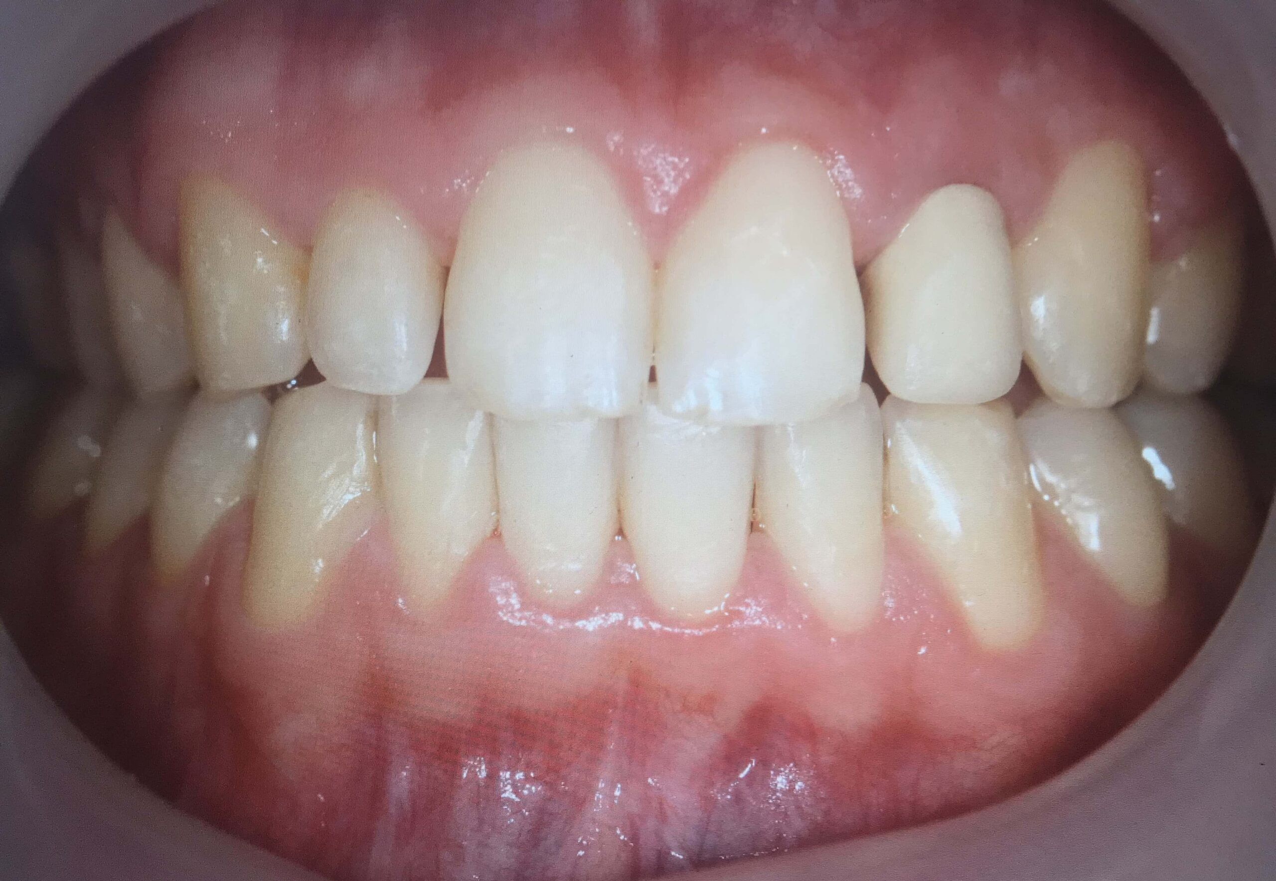
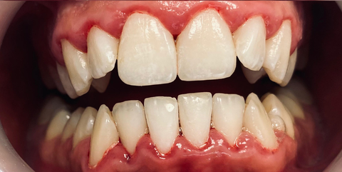
Efekty leczenia Pacjentów Dental Corner
Przekonaj się, jak spektakularne efekty możemy razem osiągnąć. Zobacz prawdziwe metamorfozy naszych Pacjentów, którzy odzyskali pewność siebie i radość z uśmiechu. Po prostu złap suwak znajdujący się na środku i przesuń go – odkryj, jak zmienia się życie wraz z nowym, zdrowym uśmiechem.
Co możesz teraz zrobić?
Jeśli zauważyłeś niepokojące zmiany w swojej jamie ustnej lub dokucza Ci nieznośny ból zębów, nie zwlekaj, umów się na wizytę w Dental Corner! Dzięki wczesnemu wykryciu problemów oszczędzisz wiele czasu, a co najważniejsze, stresu! Możesz się z nami skontaktować pod numerem +48 713 526 354 bądź wypełniając formularz.
Porozmawiajmy o Twoim leczeniu
Napisz do nas, jeśli masz pytania lub chcesz skonsultować swój przypadek. Oddzwonimy i podpowiemy, od czego najlepiej zacząć leczenie.
Najczęściej zadawane pytania
Poznaj odpowiedzi na najczęściej zadawane pytania przez naszych Pacjentów.
