Profilaktyka stomatologiczna Wrocław
Zdrowy uśmiech zaczyna się od profilaktyki. Regularne wizyty higienizacyjne pozwalają zapobiec próchnicy, chorobom dziąseł i kosztownemu leczeniu w przyszłości. To prosty krok, dzięki któremu zachowasz zdrowe zęby, świeży oddech i estetyczny wygląd na lata.
Co warto wiedzieć o profilaktyce?
Na czym polega profilaktyka stomatologiczna?
Profilaktyka to zestaw profesjonalnych zabiegów higienizacyjnych wykonywanych w gabinecie stomatologicznym. Ich celem jest usunięcie kamienia i osadów nazębnych, wzmocnienie szkliwa oraz zapobieganie próchnicy i chorobom przyzębia.
Dla kogo jest profilaktyka stomatologiczna?
Dla każdego Pacjenta – niezależnie od wieku. Regularna higienizacja zębów jest szczególnie ważna dla osób pijących kawę, herbatę, palących papierosy oraz noszących aparaty ortodontyczne lub prace protetyczne, ale każdemu jest zalecane jej wykonywanie przynajmniej raz na pół roku.
Jakie problemy rozwiązuje profilaktyka?
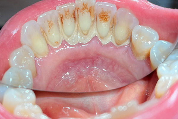
Zabiegi profilaktyczne eliminują kamień nazębny i bakterie odpowiedzialne za próchnicę, krwawienie dziąseł i nieświeży oddech. Pozwalają także wcześnie wykryć niepokojące zmiany, zanim rozwiną się w poważniejsze schorzenia.
Dlaczego regularność ma znaczenie?
Kamienia nazębnego nie da się usunąć samodzielnie w warunkach domowych. Regularna higienizacja zębów i jamy ustnej co 6 miesięcy zapobiegają jego odkładaniu się, chronią szkliwo i pozwalają uniknąć leczenia zachowawczego lub kanałowego w przyszłości.
W trosce o dobre samopoczucie Pacjentów udostępniamy nowoczesne okulary XR VITURE Luma Ultra, które pomagają zrelaksować się podczas wizyty.
Higienizacja zębów Wrocław - Korzyści profilaktyki
Profilaktyka to inwestycja w spokój i zdrowie. Dzięki regularnym zabiegom higienizacyjnym zęby pozostają mocne, dziąsła zdrowe, a uśmiech świeży i estetyczny. To komfort na co dzień i mniejsze ryzyko konieczności kosztownego leczenia w przyszłości.
Korzyści profilaktyki:
- Zdrowe zęby i dziąsła
- Skuteczna ochrona przed próchnicą
- Świeży oddech
- Jaśniejszy, czystszy uśmiech
Tą dziedziną stomatologii zajmuje się:
Joanna Smoter
Anastazja Świncicka
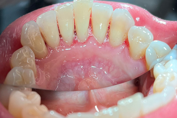
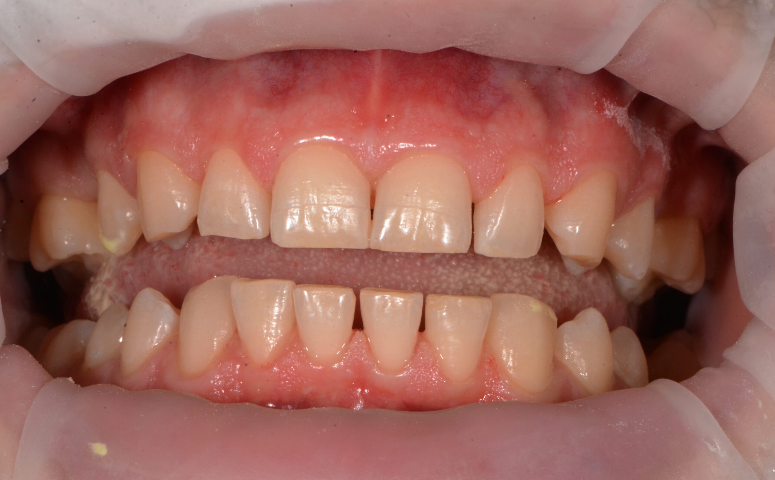
Efekty leczenia Pacjentów Dental Corner
Przekonaj się, jak spektakularne efekty możemy razem osiągnąć. Zobacz prawdziwe metamorfozy naszych Pacjentów, którzy odzyskali pewność siebie i radość z uśmiechu. Po prostu złap suwak znajdujący się na środku i przesuń go – odkryj, jak zmienia się życie wraz z nowym, zdrowym uśmiechem.
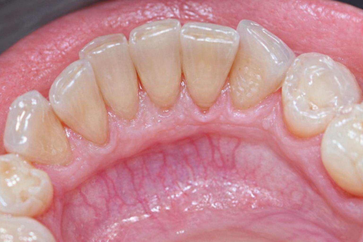
Terapia vectorowa – nowoczesna profilaktyka i leczenie przyzębia
W Dental Corner korzystamy z innowacyjnych technologii. Jednym z takich rozwiązań jest terapia vectorowa – nowoczesna metoda ultradźwiękowa, wykorzystywana zarówno w profilaktyce, jak i w terapii chorób przyzębia oraz tkanek wokół implantów.
Zabieg przeprowadzany jest w sposób niechirurgiczny, bezbolesny i małoinwazyjny. Ultradźwięki pozwalają na dokładne usunięcie biofilmu bakteryjnego, osadów oraz kamienia nazębnego z trudno dostępnych miejsc – również z powierzchni korzeni zębów, kieszonek dziąsłowych, implantów oraz uzupełnień protetycznych.
W trakcie terapii do twardych tkanek zębów dostarczany jest hydroksyapatyt w postaci fluidu, czyli naturalny budulec szkliwa. Dzięki temu zęby są dodatkowo chronione przed demineralizacją oraz nadwrażliwością pozabiegową.
Ogromną zaletą terapii Vector Paro jest bezwibracyjna praca urządzenia, która zwiększa bezpieczeństwo zabiegu i komfort Pacjenta. Brak drgań minimalizuje ryzyko uszkodzenia tkanek miękkich, cementu korzeniowego oraz stałych odbudów protetycznych, czyniąc zabieg wyjątkowo delikatnym, a jednocześnie bardzo skutecznym.
Umów się na wizytę
Jak widać, regularna gabinetowa higienizacja jest wspaniałym sposobem na utrzymanie zdrowego i pięknego uśmiechu. Dzięki nowoczesnym technologiom przeprowadzana jest w Dental Corner bardzo sprawnie i co równie ważne – komfortowo. Jeśli zauważyłeś jakiekolwiek niepokojące zmiany w jamie ustnej lub po prostu chcesz zadbać o jej higienę, umów się na wizytę. Nasze doświadczone higienistki stomatologiczne przeprowadzą kompleksowy pakiet profilaktyczny, który usunie niepożądane osady z Twojego uzębienia i zapewni mu bezpieczeństwo. Możesz się z nami skontaktować pod numerem +48 713 526 354 lub wypełniając formularz.
Porozmawiajmy o Twoim leczeniu
Napisz do nas, jeśli masz pytania lub chcesz skonsultować swój przypadek. Oddzwonimy i podpowiemy, od czego najlepiej zacząć leczenie.
Najczęściej zadawane pytania
Poznaj odpowiedzi na najczęściej zadawane pytania przez naszych Pacjentów.
