Bonding
Drobne niedoskonałości estetyczne potrafią skutecznie odebrać radość z uśmiechu. Bonding to szybki i małoinwazyjny sposób, by poprawić kształt, kolor lub symetrię zębów – nawet trakcie jednej wizyty. Naturalny efekt, bez szlifowania i długiego leczenia.Co warto wiedzieć o bondingu?
Na czym polega bonding?
Bonding polega na modelowaniu zębów przy użyciu nowoczesnych materiałów kompozytowych, które do złudzenia przypominają naturalne szkliwo. Materiał nakładany jest warstwowo i precyzyjnie formowany, bez ingerencji w głębsze tkanki zęba.
Dla kogo jest bonding?
To rozwiązanie dla Pacjentów, którzy chcą szybko poprawić estetykę uśmiechu bez leczenia protetycznego czy ortodontycznego. Sprawdza się u osób z drobnymi defektami wyglądu zębów i zdrowym uzębieniem.
Jakie problemy rozwiązuje bonding?
Bonding pozwala zamaskować przebarwienia, niewielkie ukruszenia, nierówności czy diastemy. Jest idealny wtedy, gdy problem ma charakter estetyczny, a nie funkcjonalny.
Szybki efekt bez długiego leczenia
Zabieg jest krótki i często ogranicza się do jednej wizyty. Podczas jednego spotkania można poprawić wygląd nawet kilku zębów, uzyskując natychmiastową metamorfozę uśmiechu.
Korzyści bondingu
Piękny uśmiech potrafi zmienić więcej, niż się wydaje. Bonding pozwala poczuć się swobodniej w rozmowach i w sytuacjach zawodowych. Bez bólu, bez długiego leczenia i bez radykalnych zmian – za to z widocznym efektem od razu po wyjściu z gabinetu.
Korzyści bondingu:
- Natychmiastowa poprawa estetyki
- Naturalny efekt bez szlifowania zębów
- Zabieg w 1 wizycie
- Komfort i brak bólu
Tą dziedziną stomatologii zajmuje się:
Lek. dent. Konrad Kuśmierek
Lek. stom. Monika Goszczyńska-Popławska
Lek. stom. Anna Al Naib
Lek. stom. Joanna Nowak
Lek. stom. Piotr Bąk
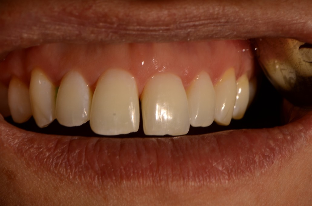
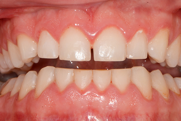
Efekty leczenia Pacjentów Dental Corner
Przekonaj się, jak spektakularne efekty możemy razem osiągnąć. Zobacz prawdziwe metamorfozy naszych Pacjentów, którzy odzyskali pewność siebie i radość z uśmiechu. Po prostu złap suwak znajdujący się na środku i przesuń go – odkryj, jak zmienia się życie wraz z nowym, zdrowym uśmiechem.
Kiedy bonding to dobry wybór?
Bonding sprawdzi się szczególnie, gdy:
- masz drobne ukruszenia lub nierówności zębów
- chcesz zamknąć diastemę bez aparatu
- przebarwienia nie reagują na wybielanie
- zależy Ci na szybkim efekcie przed ważnym wydarzeniem
- chcesz poprawić uśmiech bez szlifowania zębów
Dowiedz się więcej
W Dental Corner dysponujemy wieloma rozwiązaniami stomatologii estetycznej, a bonding jest jednym z nich. Jeśli interesuje Cię skuteczna korekta wyglądu uśmiechu materiałami kompozytowymi, licówki kompozytowe i porcelanowe czy wybielanie zębów, umów się na wizytę! Możesz to zrobić, dzwoniąc pod numer +48 713 526 354 lub wypełniając formularz.
Porozmawiajmy o Twoim leczeniu
Napisz do nas, jeśli masz pytania lub chcesz skonsultować swój przypadek. Oddzwonimy i podpowiemy, od czego najlepiej zacząć leczenie.!
Najczęściej zadawane pytania
Poznaj odpowiedzi na najczęściej zadawane pytania przez naszych Pacjentów.
